Ортодонтический случай от PROTSENKO DIGITAL ORTHODONTICS
Этот ортодонтический случай представляет собой решение сложной клинической задачи.
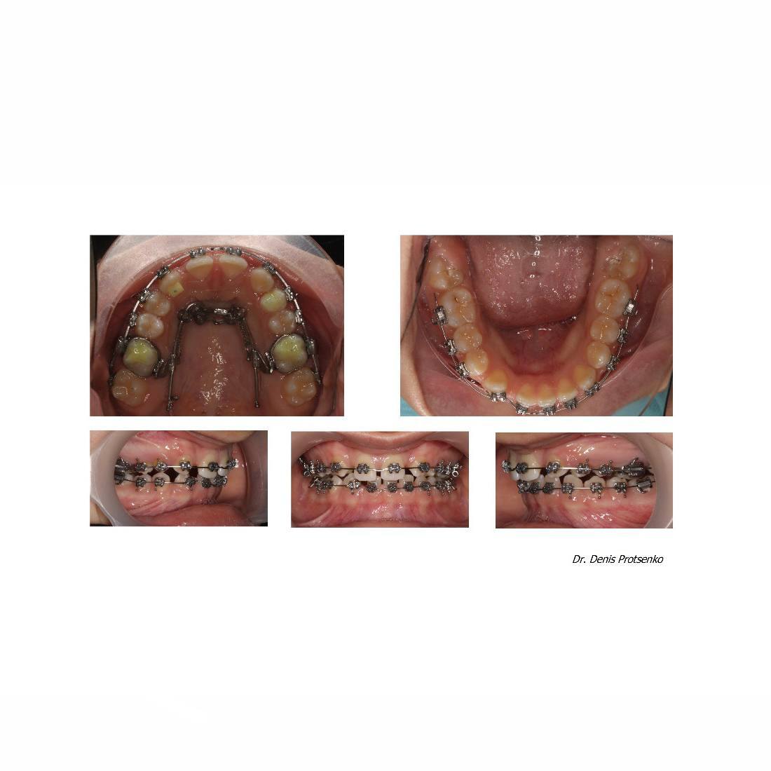
Перед нами стояла комплексная проблема, включающая глубокий прикус, врожденную адентию (отсутствие) верхних боковых резцов и одного нижнего резца, а также необходимость ретропозиции (смещения назад) челюстей.
Лечение началось с установки аппарата со скелетной опорой, который обеспечивал контроль над ростом и положением челюстей.
Параллельно с этим была установлена брекет-система, позволившая переместить зубы, добившись желаемого результата. Клыки заняли место отсутствующих верхних боковых резцов, восстановив симметрию зубного ряда.
В нижней челюсти было создано достаточное пространство для будущей имплантации отсутствующего резца, когда пациент достигнет совершеннолетия.
Для удержания достигнутого результата и сохранения места для будущего имплантата, было принято решение использовать индивидуальный 3D-ретейнер, в который был интегрирован искусственный зуб, идеально вписывающийся в зубной ряд пациента.
Двухлетнее лечение завершилось полным успехом.
Этот сложный ортодонтический случай — яркий пример того, как современные технологии и высокий профессионализм позволяют решать даже самые сложные задачи в эстетической стоматологии.
Этот ортодонтический случай представляет собой решение сложной клинической задачи.
Перед нами стояла комплексная проблема, включающая глубокий прикус, врожденную адентию (отсутствие) верхних боковых резцов и одного нижнего резца, а также необходимость ретропозиции (смещения назад) челюстей.
Лечение началось с установки аппарата со скелетной опорой, который обеспечивал контроль над ростом и положением челюстей.
Параллельно с этим была установлена брекет-система, позволившая переместить зубы, добившись желаемого результата. Клыки заняли место отсутствующих верхних боковых резцов, восстановив симметрию зубного ряда.
В нижней челюсти было создано достаточное пространство для будущей имплантации отсутствующего резца, когда пациент достигнет совершеннолетия.
Для удержания достигнутого результата и сохранения места для будущего имплантата, было принято решение использовать индивидуальный 3D-ретейнер, в который был интегрирован искусственный зуб, идеально вписывающийся в зубной ряд пациента.
Двухлетнее лечение завершилось полным успехом.
Этот сложный ортодонтический случай — яркий пример того, как современные технологии и высокий профессионализм позволяют решать даже самые сложные задачи в эстетической стоматологии.